Home Page > ANTIBODY > POLYCLONAL ANTIBODY > Goat Polyclonal Antibodies >  Goat anti-ALMS1 Antibody

Goat anti-ALMS1 Antibody


Item#:
dAP-0182
Size Price Quantity
50.0 ug $310.00
Goat anti-ALMS1 Antibody
Principle Name ALMS1
Official Symbol ALMS1
All Name and Symbols ALMS1; Alstrom syndrome 1; ALSS; KIAA0328; DKFZp686A118; DKFZp686D1828
Accession Number(s) NP_055935.4
Peptide Sequence RVTNQLLGRKVPWD, is from C Terminus
Human Gene ID(s) 7840
Non-Human GeneID(s) 236266 (mouse); 297408 (rat);
Important Comments The C terminus of ALMS1 shares an 8 amino acid stretch with two other human proteins
Purification Purified from goat serum by ammonium sulphate precipitation followed by antigen affinity chromatography using the immunizing peptide.
Supplied As lyophilized powder of 50ug or 100ug IgG; Reconsititute IgG with 100ul or 200ul sterile DI Water and final product will be formulated as 0.5 mg/ml in Tris saline, 0.02% sodium azide, pH7.3 with 0.5% bovine serum albumin. Aliquot and store at -20°C. Minimize freezing and thawing.
Applications Pep ELISA, IHC
Tested Species Human
Peptide ELISA antibody detection limit dilution 1 to 32000.
Western Blot Preliminary experiments gave bands at approx 200kDa and 75kDa in lysates of Human T cell line Jurkat after 0.3µg/ml antibody staining. Please note that currently we cannot find an explanation in the literature for the bands we observe given
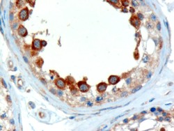
Immunohistochemistry In paraffin embedded Human Testis shows staining of cytoplasm in spermatocytes. Recommended concentration
Reference(s) Collin GB, Marshall JD, Ikeda A, So WV, Russell-Eggitt I, Maffei P, Beck S, Boerkoel CF, Sicolo N, Martin M, Nishina PM, Naggert JK. Mutations in ALMS1 cause obesity, type 2 diabetes and neurosensory degeneration in Alstrom syndrome. Nat Genet. 2002 May;31(1)

ANGIO-PROTEOMIE, ALL RIGHTS RESERVED