Home Page > ANTIBODY > POLYCLONAL ANTIBODY > Goat Polyclonal Antibodies >  Goat anti-RNF23 / TRIM39 Antibody

Goat anti-RNF23 / TRIM39 Antibody


Item#:
dAP-0185
Size Price Quantity
50.0 ug $310.00
Goat anti-RNF23 / TRIM39 Antibody
Principle Name RNF23 / TRIM39
Official Symbol TRIM39
All Name and Symbols TRIM39; TRIM39B; TFP; RNF23; MGC32984; tripartite motif-containing 39; ring finger protein 23; testis-abundant finger protein; DAAP-385L22.4; OTTHUMP00000029075; OTTHUMP00000029076
Accession Number(s) NP_067076.2; NP_742013.1
Peptide Sequence NAAPLTIRPPTDWE, is from C Terminus
Human Gene ID(s) 56658
Non-Human GeneID(s) 79263 (mouse);
Important Comments This antibody is expected to recognise both reported isoforms (NP_067076.2 and NP_742013.1).
Purification Purified from goat serum by ammonium sulphate precipitation followed by antigen affinity chromatography using the immunizing peptide.
Supplied As lyophilized powder of 50ug or 100ug IgG; Reconsititute IgG with 100ul or 200ul sterile DI Water and final product will be formulated as 0.5 mg/ml in Tris saline, 0.02% sodium azide, pH7.3 with 0.5% bovine serum albumin. Aliquot and store at -20°C. Minimize freezing and thawing.
Applications Pep ELISA, IHC
Tested Species Human
Peptide ELISA antibody detection limit dilution 1 to 32000.
Western Blot Preliminary experiments gave an approx 49kDa band in Human Testis and Rat Testis lysates after 1µg/ml antibody staining. Please note that currently we cannot find an explanation in the literature for the band we observe given the calculated
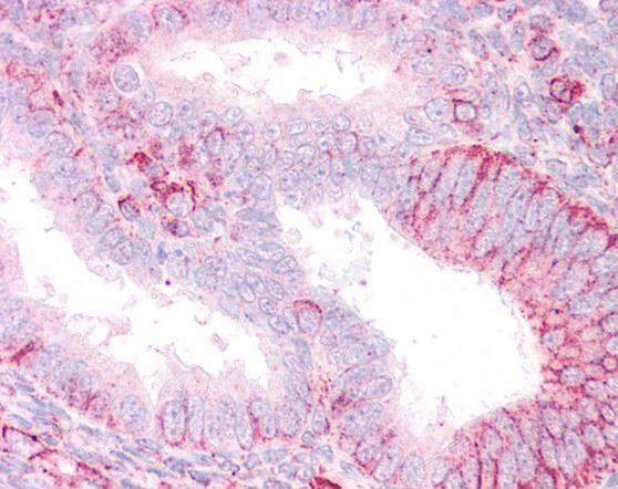
Immunohistochemistry Paraffin embedded Human Uterus. Recommended concentration
Reference(s) Orimo A, Yamagishi T, Tominaga N, Yamauchi Y, Hishinuma T, Okada K, Suzuki M, Sato M, Nogi Y, Suzuki H, Inoue S, Yoshimura K, Shimizu Y, Muramatsu M. Molecular cloning of testis-abundant finger Protein/Ring finger protein 23 (RNF23), a novel RING-B box-coiled coil-B30.2 protein on the class I region of the human MHC. Biochem Biophys Res Commun. 2000 Sep 16;276(1)

ANGIO-PROTEOMIE, ALL RIGHTS RESERVED