Home Page > ANTIBODY > POLYCLONAL ANTIBODY > Goat Polyclonal Antibodies >  Goat anti-FOXE1 / TTF2 Antibody

Goat anti-FOXE1 / TTF2 Antibody


Item#:
dAP-0220
Size Price Quantity
50.0 ug $310.00
Goat anti-FOXE1 / TTF2 Antibody
Principle Name FOXE1 / TTF2
Official Symbol FOXE1
All Name and Symbols FOXE1; TTF2; forkhead box E1 (thyroid transcription factor 2); FOXE2; HFKH4; HFKL5; TITF2; TTF-2; FKHL15; forkhead (Drosophila)-like 15; forkhead box E1; forkhead box E2; thyroid transcription factor-2; Forkhead, drosophila, homolog-like 15
Accession Number(s) NP_004464.2
Peptide Sequence AYPGGIDRFVSAM, is from C Terminus
Human Gene ID(s) 2304
Non-Human GeneID(s)
Important Comments
Purification Purified from goat serum by ammonium sulphate precipitation followed by antigen affinity chromatography using the immunizing peptide.
Supplied As lyophilized powder of 50ug or 100ug IgG; Reconsititute IgG with 100ul or 200ul sterile DI Water and final product will be formulated as 0.5 mg/ml in Tris saline, 0.02% sodium azide, pH7.3 with 0.5% bovine serum albumin. Aliquot and store at -20°C. Minimize freezing and thawing.
Applications Pep ELISA, IHC
Tested Species Human
Peptide ELISA antibody detection limit dilution 1 to 8000.
Western Blot Preliminary experiments gave an approx 70kDa band in Human Thymus and Thyroid Gland lysates after 0.3µg/ml antibody staining. Please note that currently we cannot find an explanation in the literature for the band we observe given the calcu
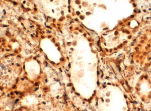
Immunohistochemistry In paraffin embedded Human Thyroid Gland shows nuclear staining in thyrocytes. Recommended concentration
Reference(s) Clifton-Bligh RJ, Wentworth JM, Heinz P, Crisp MS, John R, Lazarus JH, Ludgate M, Chatterjee VK. Mutation of the gene encoding human TTF-2 associated with thyroid agenesis, cleft palate and choanal atresia. Nat Genet. 1998 Aug;19(4)

ANGIO-PROTEOMIE, ALL RIGHTS RESERVED