Home Page > ANTIBODY > POLYCLONAL ANTIBODY > Goat Polyclonal Antibodies >  Goat anti-RANBP8 / IPO8 Antibody

Goat anti-RANBP8 / IPO8 Antibody


Item#:
dAP-0243
Size Price Quantity
50.0 ug $310.00
Goat anti-RANBP8 / IPO8 Antibody
Principle Name RANBP8 / IPO8
Official Symbol IPO8
All Name and Symbols IPO8; importin 8; RANBP8; RAN-binding protein 8; FLJ26580; RAN binding protein 8
Accession Number(s) NP_006381.2; NP_001177924.1
Peptide Sequence SAFNFGTVPSNN, is from C Terminus
Human Gene ID(s) 10526
Non-Human GeneID(s)
Important Comments This antibody is expected to recognise isoform 1 (NP_006381.2) and isoform 2 (NP_001177924.1).
Purification Purified from goat serum by ammonium sulphate precipitation followed by antigen affinity chromatography using the immunizing peptide.
Supplied As lyophilized powder of 50ug or 100ug IgG; Reconsititute IgG with 100ul or 200ul sterile DI Water and final product will be formulated as 0.5 mg/ml in Tris saline, 0.02% sodium azide, pH7.3 with 0.5% bovine serum albumin. Aliquot and store at -20°C. Minimize freezing and thawing.
Applications Pep ELISA, IHC
Tested Species Human
Peptide ELISA antibody detection limit dilution 1 to 32000.
Western Blot Preliminary experiments in lysates of cell line HeLa gave no specific signal but low background (at antibody concentration up to 1µg/ml). We would appreciate any feedback from people in the field - have any results been reported with other
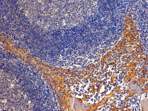
Immunohistochemistry In paraffin embedded Human Tonsil shows cytoplam / perinuclear staining in the parenchyma. Recommended concentration, 4-6µg/ml.
Reference(s) Gorlich D, Dabrowski M, Bischoff FR, Kutay U, Bork P, Hartmann E, Prehn S, Izaurralde E. A novel class of RanGTP binding proteins. J Cell Biol. 1997 Jul 14;138(1)

ANGIO-PROTEOMIE, ALL RIGHTS RESERVED