Home Page > ANTIBODY > POLYCLONAL ANTIBODY > Goat Polyclonal Antibodies >  Goat anti-KMT2B/MLL4 Antibody

Goat anti-KMT2B/MLL4 Antibody


Item#:
dAP-0363
Size Price Quantity
50.0 ug $310.00
Goat anti-KMT2B/MLL4 Antibody
Principle Name KMT2B/MLL4
Official Symbol KMT2B
All Name and Symbols KMT2B; MLL4; myeloid/lymphoid or mixed-lineage leukemia 4; HRX2; MLL2; KIAA0304; KIAA0304 gene product; DYT28; MLL1B; WBP7; WBP-7; CXXC10; Lysine methyltransferase 2B histone-lysine N-methyltransferase 2B[
Accession Number(s) NP_055542.1
Peptide Sequence CNCGAKRCRRFLN, is from C Terminus
Human Gene ID(s) 9757
Non-Human GeneID(s) 75410 (mouse);
Important Comments
Purification Purified from goat serum by ammonium sulphate precipitation followed by antigen affinity chromatography using the immunizing peptide.
Supplied As lyophilized powder of 50ug or 100ug IgG; Reconsititute IgG with 100ul or 200ul sterile DI Water and final product will be formulated as 0.5 mg/ml in Tris saline, 0.02% sodium azide, pH7.3 with 0.5% bovine serum albumin. Aliquot and store at -20°C. Minimize freezing and thawing.
Applications Pep ELISA, IHC
Tested Species Human
Peptide ELISA antibody detection limit dilution 1 to 128000.
Western Blot Using our routine western blotting protocol we would not expect to reliably detect proteins larger than 250kDa (calculated MWt. of approx. 294KDa according to NP_055542.1).
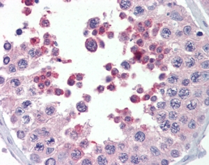
Immunohistochemistry Positive staining seen in paraffin embedded Human Testis and Human Brain Cortex. Recommended concentration
Reference(s) Huntsman DG, Chin SF, Muleris M, Batley SJ, Collins VP, Wiedemann LM, Aparicio S, Caldas C. MLL2, the second human homolog of the Drosophila trithorax gene, maps to 19q13.1 and is amplified in solid tumor cell lines. Oncogene. 1999 Dec 23;18(56)

ANGIO-PROTEOMIE, ALL RIGHTS RESERVED