Home Page > ANTIBODY > POLYCLONAL ANTIBODY > Goat Polyclonal Antibodies >  Goat anti-PIR51 / RAD51AP1 Antibody

Goat anti-PIR51 / RAD51AP1 Antibody


Item#:
dAP-0430
Size Price Quantity
50.0 ug $310.00
Goat anti-PIR51 / RAD51AP1 Antibody
Principle Name PIR51 / RAD51AP1
Official Symbol RAD51AP1
All Name and Symbols RAD51AP1; PIR51; RAD51-interacting protein; RAD51 associated protein 1
Accession Number(s) NP_001124334.1; NP_006470
Peptide Sequence ARVKPLHPNATST, is from C Terminus
Human Gene ID(s) 10635
Non-Human GeneID(s)
Important Comments This antibody is expected to recognise both reported isoforms.
Purification Purified from goat serum by ammonium sulphate precipitation followed by antigen affinity chromatography using the immunizing peptide.
Supplied As lyophilized powder of 50ug or 100ug IgG; Reconsititute IgG with 100ul or 200ul sterile DI Water and final product will be formulated as 0.5 mg/ml in Tris saline, 0.02% sodium azide, pH7.3 with 0.5% bovine serum albumin. Aliquot and store at -20°C. Minimize freezing and thawing.
Applications Pep ELISA, IHC
Tested Species Human
Peptide ELISA antibody detection limit dilution 1 to 32000.
Western Blot Preliminary experiments gave an approx 25kDa band in Human Testis lysates at 0.2ug/ml. This band was successfully blocked by incubation with the immunising peptide. Please note that currently we cannot find an explanation in the literature
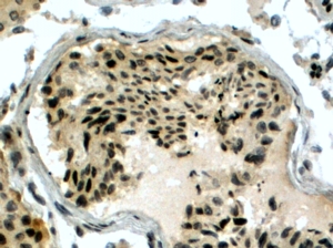
Immunohistochemistry In paraffin embedded Human Testis shows nuclear staining in spermatocytes and spermatids. Recommended concentration, 4-6µg/ml.
Reference(s) Kovalenko OV, Golub EI, Bray-Ward P, Ward DC, Radding CM. A novel nucleic acid-binding protein that interacts with human rad51 recombinase. Nucleic Acids Res. 1997 Dec 15;25(24)

ANGIO-PROTEOMIE, ALL RIGHTS RESERVED