Home Page > ANTIBODY > POLYCLONAL ANTIBODY > Goat Polyclonal Antibodies >  Goat anti-ENPP1 / PC1 Antibody

Goat anti-ENPP1 / PC1 Antibody


Item#:
dAP-0702
Size Price Quantity
50.0 ug $310.00
Goat anti-ENPP1 / PC1 Antibody
Principle Name ENPP1 / PC1
Official Symbol ENPP1
All Name and Symbols ENPP1; PC-1; ectonucleotide pyrophosphatase/phosphodiesterase 1; HGNC
Accession Number(s) NP_006199.2
Peptide Sequence KTHLPTFSQED, is from C Terminus
Human Gene ID(s) 5167
Non-Human GeneID(s)
Important Comments
Purification Purified from goat serum by ammonium sulphate precipitation followed by antigen affinity chromatography using the immunizing peptide.
Supplied As lyophilized powder of 50ug or 100ug IgG; Reconsititute IgG with 100ul or 200ul sterile DI Water and final product will be formulated as 0.5 mg/ml in Tris saline, 0.02% sodium azide, pH7.3 with 0.5% bovine serum albumin. Aliquot and store at -20°C. Minimize freezing and thawing.
Applications Pep ELISA, IHC
Tested Species Human
Peptide ELISA antibody detection limit dilution 1 to 128000.
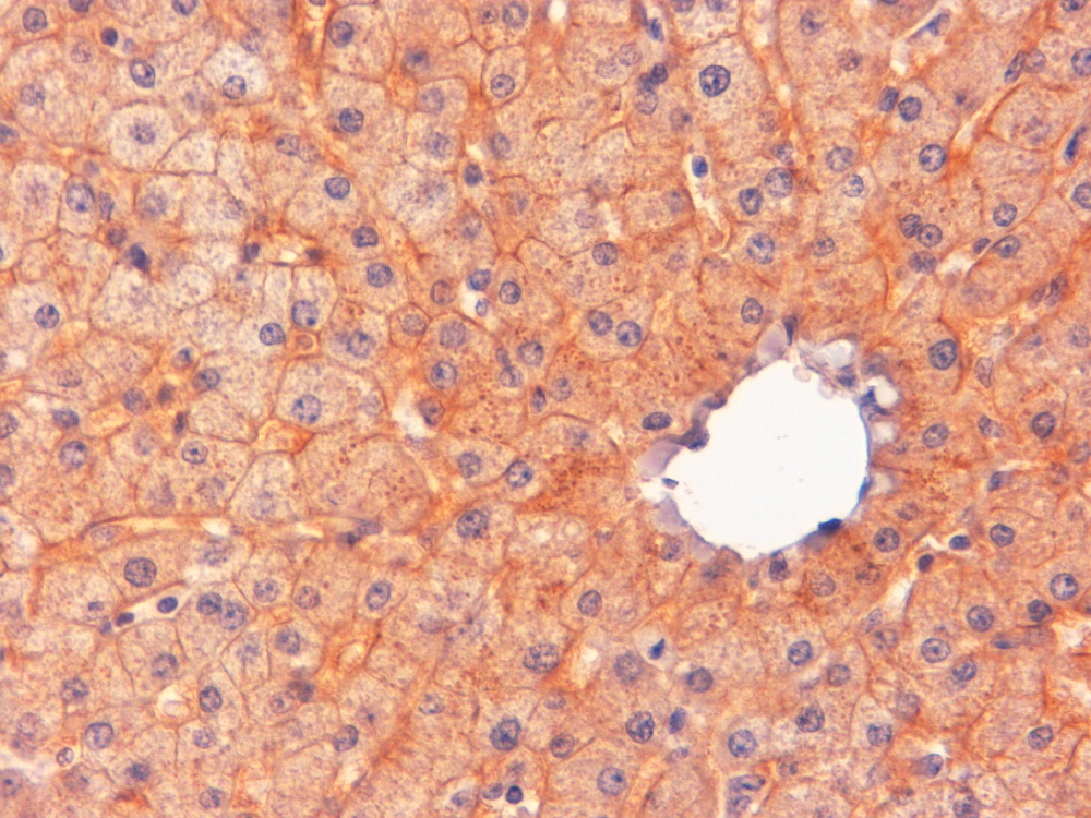
Immunohistochemistry In paraffin embedded Human Liver shows membranous staining in many hepatocytes. Recommended concentration
Reference(s) Meyre D, Bouatia-Naji N, Tounian A, Samson C, Lecoeur C, Vatin V, Ghoussaini M, Wachter C, Hercberg S, Charpentier G, Patsch W, Pattou F, Charles MA, Tounian P, Clement K, Jouret B, Weill J, Maddux BA, Goldfine ID, Walley A, Boutin P, Dina C, Froguel P. Variants of ENPP1 are associated with childhood and adult obesity and increase the risk of glucose intolerance and type 2 diabetes. Nat Genet. 2005 Aug;37(8)

ANGIO-PROTEOMIE, ALL RIGHTS RESERVED