Home Page > ANTIBODY > POLYCLONAL ANTIBODY > Goat Polyclonal Antibodies >  Goat anti-GOLGA6 / GLP Antibody

Goat anti-GOLGA6 / GLP Antibody


Item#:
dAP-0748
Size Price Quantity
50.0 ug $310.00
Goat anti-GOLGA6 / GLP Antibody
Principle Name GOLGA6 / GLP
Official Symbol GOLGA6B
All Name and Symbols GOLGA6B; GOLGA6; golgi autoantigen, golgin subfamily a, member 6; HGNC
Accession Number(s) NP_061122.4; NP_001033729.1
Peptide Sequence DLPKEKADGTEQ, is from internal region
Human Gene ID(s) 55889; 342096
Non-Human GeneID(s)
Important Comments GeneID 55889 may be a pseudogene, while GeneID 342096 is thought to encode a functional protein.
Purification Purified from goat serum by ammonium sulphate precipitation followed by antigen affinity chromatography using the immunizing peptide.
Supplied As lyophilized powder of 50ug or 100ug IgG; Reconsititute IgG with 100ul or 200ul sterile DI Water and final product will be formulated as 0.5 mg/ml in Tris saline, 0.02% sodium azide, pH7.3 with 0.5% bovine serum albumin. Aliquot and store at -20°C. Minimize freezing and thawing.
Applications Pep ELISA, IHC
Tested Species Human
Peptide ELISA antibody detection limit dilution 1 to 1000.
Western Blot Preliminary experiments gave an approx 45kDa band in human liver lysates after 1µg/ml antibody staining. Please note that currently we cannot find an explanation in the literature for the band we observe given the calculated size of 79.9kDa
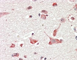
Immunohistochemistry In paraffin embedded Human Cerebral Cortex shows localized cytoplasm staining consistent with Golgi. Recommended concentration, 3-6µg/ml.
Reference(s) Gilles F, Goy A, Remache Y, Manova K, Zelenetz AD. Cloning and characterization of a Golgin-related gene from the large-scale polymorphism linked to the PML gene. Genomics. 2000 Dec 15;70(3)

ANGIO-PROTEOMIE, ALL RIGHTS RESERVED