Home Page > ANTIBODY > POLYCLONAL ANTIBODY > Goat Polyclonal Antibodies >  Goat anti-VPS29 (Internal) Antibody

Goat anti-VPS29 (Internal) Antibody


Item#:
dAP-0889
Size Price Quantity
50.0 ug $310.00
Goat anti-VPS29 (Internal) Antibody
Principle Name VPS29 (Internal)
Official Symbol VPS29
All Name and Symbols VPS29; vacuolar protein sorting 29 (yeast) ; DC15; DC7; DKFZp564F0223; FLJ20492; PEP11 ; retromer protein; vacuolar protein sorting 29; vacuolar protein sorting 29 (yeast homolog); vacuolar sorting protein VPS29/PEP11; x 007 protein
Accession Number(s) NP_057310.1; NP_476528.1
Peptide Sequence CTGNLCTKESYDYLK, is from internal region
Human Gene ID(s) 51699
Non-Human GeneID(s) 56433 (mouse); 288666 (rat);
Important Comments This antibody is expected to recognise both reported isoforms (NP_057310.1 and NP_476528.1).
Purification Purified from goat serum by ammonium sulphate precipitation followed by antigen affinity chromatography using the immunizing peptide.
Supplied As lyophilized powder of 50ug or 100ug IgG; Reconsititute IgG with 100ul or 200ul sterile DI Water and final product will be formulated as 0.5 mg/ml in Tris saline, 0.02% sodium azide, pH7.3 with 0.5% bovine serum albumin. Aliquot and store at -20°C. Minimize freezing and thawing.
Applications Pep ELISA, IHC
Tested Species Human
Peptide ELISA antibody detection limit dilution 1 to 16000.
Western Blot Preliminary experiments gave an approx 60kDa band in Human Spleen lysates after 0.3µg/ml antibody staining. Please note that currently we cannot find an explanation in the literature for the band we observe given the calculated size of 20.5
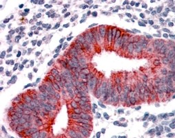
Immunohistochemistry In paraffin embedded Human Uterus shows vesicular and membranous staining in the endometrial glands. Recommended concentration, 4-8µg/ml.
Reference(s) Nakada-Tsukui K, Saito-Nakano Y, Ali V, Nozaki T. A retromerlike complex is a novel Rab7 effector that is involved in the transport of the virulence factor cysteine protease in the enteric protozoan parasite Entamoeba histolytica. Mol Biol Cell. 2005 Nov;16(11)

ANGIO-PROTEOMIE, ALL RIGHTS RESERVED