Home Page > ANTIBODY > POLYCLONAL ANTIBODY > Goat Polyclonal Antibodies >  Goat anti-Semaphorin 3E (internal) Antibody

Goat anti-Semaphorin 3E (internal) Antibody


Item#:
dAP-0982
Size Price Quantity
50.0 ug $310.00
Goat anti-Semaphorin 3E (internal) Antibody
Principle Name Semaphorin 3E (internal)
Official Symbol SEMA3E
All Name and Symbols SEMA3E; sema domain, immunoglobulin domain (Ig), short basic domain, secreted, (semaphorin) 3E; KIAA0331; M-SEMAH; M-SemaK; M-sema H; SEMAH; coll-5 ; sema domain, immunoglobulin domain (Ig), short basic domain, secreted, 3E; semaphorin 3E
Accession Number(s) NP_036563.1; NP_001171600.1
Peptide Sequence NGGRYGTTKDYPDD, is from internal region
Human Gene ID(s) 9723
Non-Human GeneID(s) 20349 (mouse);
Important Comments This antibody is expected to recognise both reported isoforms (NP_036563.1; NP_001171600.1).
Purification Purified from goat serum by ammonium sulphate precipitation followed by antigen affinity chromatography using the immunizing peptide.
Supplied As lyophilized powder of 50ug or 100ug IgG; Reconsititute IgG with 100ul or 200ul sterile DI Water and final product will be formulated as 0.5 mg/ml in Tris saline, 0.02% sodium azide, pH7.3 with 0.5% bovine serum albumin. Aliquot and store at -20°C. Minimize freezing and thawing.
Applications Pep ELISA, IHC
Tested Species Human
Peptide ELISA antibody detection limit dilution 1 to 128000.
Western Blot Preliminary experiments gave an approx 35kDa band in Human Prostate lysates after 0.03µg/ml antibody staining. Please note that currently we cannot find an explanation in the literature for the band we observe given the calculated size of 8
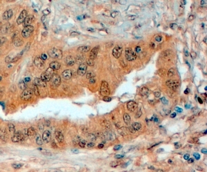
Immunohistochemistry In paraffin embedded Human Prostate shows membranous staining of secretory cells in the gland. Recommended concentration, 4-6µg/ml.
Reference(s) Gu C, Yoshida Y, Livet J, Reimert DV, Mann F, Merte J, Henderson CE, Jessell TM, Kolodkin AL, Ginty DD. Semaphorin 3E and plexin-D1 control vascular pattern independently of neuropilins. Science. 2005 Jan 14;307(5707)

ANGIO-PROTEOMIE, ALL RIGHTS RESERVED