Home Page > ANTIBODY > POLYCLONAL ANTIBODY > Goat Polyclonal Antibodies >  Goat anti-NAT10 / hALP Antibody

Goat anti-NAT10 / hALP Antibody


Item#:
dAP-1088
Size Price Quantity
50.0 ug $310.00
Goat anti-NAT10 / hALP Antibody
Principle Name NAT10 / hALP
Official Symbol NAT10
All Name and Symbols NAT10; N-acetyltransferase 10; ALP; DKFZp434C116; FLJ10774; FLJ12179; FLJ23850; KIAA1709; hALP ; N-acetyltransferase-like; N-acetyltransferase-like protein
Accession Number(s) NP_078938.1
Peptide Sequence KSDKKRKLEAKQ, is from internal region (near the C Terminus)
Human Gene ID(s) 55226
Non-Human GeneID(s) 98956 (mouse);
Important Comments
Purification Purified from goat serum by ammonium sulphate precipitation followed by antigen affinity chromatography using the immunizing peptide.
Supplied As lyophilized powder of 50ug or 100ug IgG; Reconsititute IgG with 100ul or 200ul sterile DI Water and final product will be formulated as 0.5 mg/ml in Tris saline, 0.02% sodium azide, pH7.3 with 0.5% bovine serum albumin. Aliquot and store at -20°C. Minimize freezing and thawing.
Applications Pep ELISA, IHC
Tested Species Human
Peptide ELISA antibody detection limit dilution 1 to 64000.
Western Blot Preliminary experiments gave an approx 26kDa band in Human Brain (Cerebellum, Frontal Cortex and Hippocampus) lysates after 0.01µg/ml antibody staining. Please note that currently we cannot find an explanation in the literature for the band
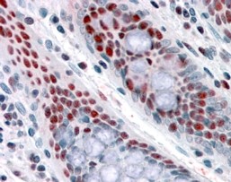
Immunohistochemistry In paraffin embedded Human Colon shows nuclear staining in absorptive cells. Recommended concentration, 3-6µg/ml.
Reference(s) Yin J, Ma Z, Selliah N, Shivers DK, Cron RQ, Finkel TH. Effective gene suppression using small interfering RNA in hard-to-transfect human T cells. J Immunol Methods. 2006 May 30;312(1-2)

ANGIO-PROTEOMIE, ALL RIGHTS RESERVED