Home Page > ANTIBODY > POLYCLONAL ANTIBODY > Goat Polyclonal Antibodies >  Goat anti-Mammaglobin A / SCGB2A2 Antibody

Goat anti-Mammaglobin A / SCGB2A2 Antibody


Item#:
dAP-1222
Size Price Quantity
50.0 ug $310.00
Goat anti-Mammaglobin A / SCGB2A2 Antibody
Principle Name Mammaglobin A / SCGB2A2
Official Symbol SCGB2A2
All Name and Symbols SCGB2A2; secretoglobin, family 2A, member 2 ; HGNC
Accession Number(s) NP_002402.1
Peptide Sequence NPQVSKTEYKEL, is from internal region
Human Gene ID(s) 4250
Non-Human GeneID(s)
Important Comments
Purification Purified from goat serum by ammonium sulphate precipitation followed by antigen affinity chromatography using the immunizing peptide.
Supplied As lyophilized powder of 50ug or 100ug IgG; Reconsititute IgG with 100ul or 200ul sterile DI Water and final product will be formulated as 0.5 mg/ml in Tris saline, 0.02% sodium azide, pH7.3 with 0.5% bovine serum albumin. Aliquot and store at -20°C. Minimize freezing and thawing.
Applications Pep ELISA, IHC
Tested Species Human
Peptide ELISA antibody detection limit dilution 1 to 32000.
Western Blot Not yet tested - our routinely used western blotting protocol does not allow detection of proteins as small as the calculated size of 10.5kDa according to NP_002402.1. Therefore we cannot recommend an optimal concentration and the product i
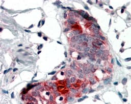
Immunohistochemistry In paraffin embedded Human Breast shows staining of cytoplasm in some acinar cells.. Recommended concentration, 4-6µg/ml.
Reference(s) Ouellette RJ, Richard D, Maicas E. RT-PCR for mammaglobin genes, MGB1 and MGB2, identifies breast cancer micrometastases in sentinel lymph nodes. Am J Clin Pathol. 2004 May;121(5)

ANGIO-PROTEOMIE, ALL RIGHTS RESERVED