Home Page > ANTIBODY > POLYCLONAL ANTIBODY > Goat Polyclonal Antibodies >  Goat anti-AADAT (int.) Antibody

Goat anti-AADAT (int.) Antibody


Item#:
dAP-1279
Size Price Quantity
50.0 ug $310.00
Goat anti-AADAT (int.) Antibody
Principle Name AADAT (int.)
Official Symbol AADAT
All Name and Symbols AADAT; aminoadipate aminotransferase; KAT2; KATII; L kynurenine/alpha aminoadipate aminotransferase; L-kynurenine/alpha-aminoadipate aminotransferase; alpha-aminoadipate aminotransferase; kynurenine aminotransferase II
Accession Number(s) NP_057312.1; NP_872603.1
Peptide Sequence DRVIDFYSNQKD, is from internal region
Human Gene ID(s) 51166
Non-Human GeneID(s)
Important Comments Both reported variants represent identical protein (NP_057312.1 and NP_872603.1).
Purification Purified from goat serum by ammonium sulphate precipitation followed by antigen affinity chromatography using the immunizing peptide.
Supplied As lyophilized powder of 50ug or 100ug IgG; Reconsititute IgG with 100ul or 200ul sterile DI Water and final product will be formulated as 0.5 mg/ml in Tris saline, 0.02% sodium azide, pH7.3 with 0.5% bovine serum albumin. Aliquot and store at -20°C. Minimize freezing and thawing.
Applications Pep ELISA, IHC
Tested Species Human
Peptide ELISA antibody detection limit dilution 1 to 32000.
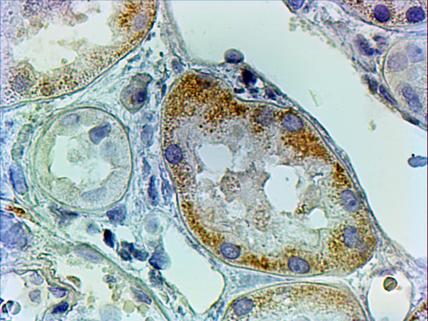
Immunohistochemistry In paraffin embedded Human Kidney shows mitochondrial staining in PCT. Recommended concentration, 2-4µg/ml.
Reference(s) Goh DL, Patel A, Thomas GH, Salomons GS, Schor DS, Jakobs C, Geraghty MT. Characterization of the human gene encoding alpha-aminoadipate aminotransferase (AADAT). Mol Genet Metab. 2002 Jul;76(3)

ANGIO-PROTEOMIE, ALL RIGHTS RESERVED