Home Page > ANTIBODY > POLYCLONAL ANTIBODY > Goat Polyclonal Antibodies >  Goat anti-GLUT5 / SLC2A5 Antibody

Goat anti-GLUT5 / SLC2A5 Antibody


Item#:
dAP-1875
Size Price Quantity
50.0 ug $310.00
Goat anti-GLUT5 / SLC2A5 Antibody
Principle Name GLUT5 / SLC2A5
Official Symbol SLC2A5
All Name and Symbols SLC2A5; solute carrier family 2 (facilitated glucose/fructose transporter), member 5; GLUT5; OTTHUMP00000001704; glucose transporter-like protein 5; solute carrier family 2 (facilitated glucose transporter), member 5
Accession Number(s) NP_003030.1
Peptide Sequence SEVYPEKEELKE, is from C Terminus
Human Gene ID(s) 6518
Non-Human GeneID(s)
Important Comments
Purification Purified from goat serum by ammonium sulphate precipitation followed by antigen affinity chromatography using the immunizing peptide.
Supplied As lyophilized powder of 50ug or 100ug IgG; Reconsititute IgG with 100ul or 200ul sterile DI Water and final product will be formulated as 0.5 mg/ml in Tris saline, 0.02% sodium azide, pH7.3 with 0.5% bovine serum albumin. Aliquot and store at -20°C. Minimize freezing and thawing.
Applications Pep ELISA, IHC
Tested Species Human
Peptide ELISA antibody detection limit dilution 1 to 8000.
Western Blot Preliminary experiments gave an approx 38kDa band in Human Duodenum, Kidney and Skeletal Muscle lysates after 1µg/ml antibody staining. Please note that currently we cannot find an explanation in the literature for the band we observe given
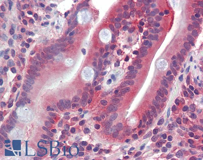
Immunohistochemistry Paraffin embedded Human Small Intestine. Recommended concentration
Reference(s) Stuart CA, Howell ME, Yin D, Overexpression of GLUT5 in diabetic muscle is reversed by pioglitazone. Diabetes care 2007 Apr 30 (4)

ANGIO-PROTEOMIE, ALL RIGHTS RESERVED