Home Page >  ANTIBODY >  Rat Monoclonal anti-mouse Cathepsin L

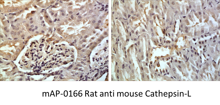
Rat Monoclonal anti-mouse Cathepsin L


Item#:
mAP-0166
Size Price Quantity
50.0 ug $420.00
Catalogue Number mAP-0166
Rat Monoclonal anti-mouse Cathepsin L
Size 100ug
Immumogen Mouse recombinant protein of Cathepsin L
Clone RM0166-5G14
Antibody Isotype Rat IgG2
Preparation This antibody was produced from a hybridoma (mouse myeloma fused with spleen cells from a rat immunized with mouse recombinant protein of Cathepsin-L).
Formulation and Storage The IgG fraction of culture supernatant was purified by Protein A/G affinity chromatography and lyophilized from a 0.2 um filtered solution in phosphate-buffered saline (PBS). Lyophilized samples are stable for 2 years from the date of receipt when stored at -70C
Specificity This antibody detects both the pro and active forms of mouse Cathepsin-H in western blotting and direct ELISA. It shows strong cross-reactivity with human Cathepsin-L.
Reconstitution Reconstitute the antibody with 200 ul sterile PBS (final concentration 500ug/ml). Reconstituted antibody can be aliquoted and stored frozen at < -20 for at least for six months without detectable loss of activity. Avoid repeated freeze-thaw cycles.
Applications
A.WB-(1 to 500-1000)
B. IHC(Paraffin)-(1 to 200-800)
C.
D.

ANGIO-PROTEOMIE, ALL RIGHTS RESERVED