Home Page > ANTIBODY > POLYCLONAL ANTIBODY > Goat Polyclonal Antibodies >  Goat anti-SNX8 Antibody

Goat anti-SNX8 Antibody


Item#:
dAP-0288
Size Price Quantity
50.0 ug $310.00
Goat anti-SNX8 Antibody
Principle Name SNX8
Official Symbol SNX8
All Name and Symbols SNX8; sorting nexin 8; Mvp1
Accession Number(s) NP_037453.1
Peptide Sequence TPPCSPPEDGLCPH, is from C Terminus
Human Gene ID(s) 29886
Non-Human GeneID(s)
Important Comments
Purification Purified from goat serum by ammonium sulphate precipitation followed by antigen affinity chromatography using the immunizing peptide.
Supplied As lyophilized powder of 50ug or 100ug IgG; Reconsititute IgG with 100ul or 200ul sterile DI Water and final product will be formulated as 0.5 mg/ml in Tris saline, 0.02% sodium azide, pH7.3 with 0.5% bovine serum albumin. Aliquot and store at -20°C. Minimize freezing and thawing.
Applications Pep ELISA, IHC
Tested Species Human
Peptide ELISA antibody detection limit dilution 1 to 8000.
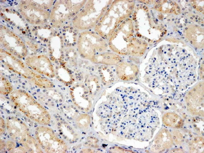
Immunohistochemistry In paraffin embedded Human Kidney shows vesicular staining in the cytoplasm of preferentially DCT epithelial cells. Recommended concentration, 4-8µg/ml.
Reference(s) Teasdale RD, Loci D, Houghton F, Karlsson L, Gleeson PA. A large family of endosome-localized proteins related to sorting nexin 1. Biochem J. 2001 Aug 15;358(Pt 1)

ANGIO-PROTEOMIE, ALL RIGHTS RESERVED