Home Page > ANTIBODY > MONOCLONAL ANTIBODY > Anti-Human Antibody >  Sheep Polyclonal anti-human Angiopoietin-2

Sheep Polyclonal anti-human Angiopoietin-2


Item#:
hAP-5029
Size Price Quantity
50.0 ug $530.00
Catalog Number hAP-5029
Sheep Polyclonal anti-human Angiopoietin-2
Size 50ug
Immunogen Mouse myeloma cell line NS0-derived recombinant human Angiopoietin-2
Clone Polyclonal AB
Antibody Isotype IgG
Preparation This antibody was produced from a sheep immunized with purified human Angiopoietin-2 protein
Formulation and Storage The IgG fraction of immunized serum was purified by antigen affinity chromatography and lyophilized from a 0.2 um filtered solution in phosphate-buffered saline (PBS). Lyophilized samples are stable for 2 years from the date of receipt when stored at -70C
Specificity Detects human Angiopoietin-2 in direct ELISAs and Western blots. In direct ELISAs, 100% cross-reactivity with recombinant mouse Angiopoietin-2 is observed,and less than 5% cross-reactivity with recombinant human (rh) Angiopoietin-1 and rhAngiopoietin-4 is observed.
Reconstitution Reconstitute the antibody with 100 ul sterile PBS and the final concentration is 500ug/ml. Reconstituted antibody can also be aliquoted and stored frozen at < -20 C for at least for six months without detectable loss of activity. Avoid repeated freeze-thaw cycles.
Applications
A.WB-(1 to 1000-2000)
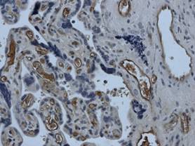
B.IHC(Paraffin)-(1 to 50-100)
C
D.

ANGIO-PROTEOMIE, ALL RIGHTS RESERVED